Dextran sulfate sodium salt MW 40000别名:DSS; 葡聚糖硫酸钠盐 Dextran sulfate sodium(DSS,葡聚糖硫酸钠盐,硫酸葡聚糖 CAS号:9011-18-1 AR级别,分子量4万,高纯度)是葡聚糖的聚阴离子衍生物,由葡聚糖和氯磺酸的酯化反应形成,可用于结肠炎和结肠癌模型的构建。
Dextran sulfate sodium salt (MW 40000) 是一种脱水葡萄糖的聚合物,
硫酸葡聚糖 CAS号:9011-18-1 AR级别,分子量4万,高纯度。现货供应!
Dextran sulfate sodium salt 通过阻止病毒吸附到宿主细胞中来抑制人免疫缺陷病毒的复制。
注意:特价至2026-03-30
规格 价格 库存
5g ¥ 500.00 现货
10g¥ 980.00 现货
25g¥ 2190.00 现货
50g¥ 4180.00 现货
| 大用量 |
超大折扣
|
| 产品名 | Dextran sulfate sodium salt (M.W 40000) |
| CAS号 | 9011-18-1 |
| 目录号 | D919829 |
| 化学式 | (C₆H₇Na₃O₁₄S₃)n |
| 分子量 | NaN |
| 溶解度 | H2O: 50 mg/mL clear, colorless to faintly greenish-yellow |
| 靶点 | Apoptosis |
| 储存条件 | Store at RT |
| 用途 | 仅供科学研究使用!不能用于人体及动物治疗 |
质控及产品安全说明书
详情
AOM/DSS模型是目前使用最广泛的UC化学诱导模型,临床症状学、形态学及病理学观察证明,该模型与人类溃疡性结肠炎癌变过程极为相似。AOM引起鸟嘌呤O6甲基化是诱导基因突变损伤最主要的原因,基因突变使细胞过度增殖,形成特异性的大肠肿瘤。DSS的致炎机制尚未阐明,可能与DSS的负电荷影响 DNA 合成、抑制上皮细胞增生、破坏肠黏膜屏障、导致巨噬细胞功能障碍及肠道菌群失调有关。
作用机制:
偶氮甲烷(AOM)能诱导DNA产生O6-甲基鸟嘌加合物,导致G→A转化。
实验动物:
BALB/c小鼠 (7周龄, 雄性)
实验材料:
DSS(目录号 : GC19829, Mr ~40,000) and AOM
实验前准备:
DSS配制: 使用无菌水配制浓度1-3% DSS溶液,储存在4℃备用。
AOM配制: 用无菌水溶解AOM配制10 mg/mL的储存液,分装后放到-20℃保存,避免反复冻融。使用之前,融化分装母液并用无菌生理盐水1:10倍稀释。
实验步骤:
1.第1天称重并标记小鼠,实验组小鼠腹腔注射偶氮甲烷 AOM(10 mg/kg);
2.用常规饮用水喂食一周;
3.用2.5%浓度DSS替换饮用水喂食一周;
4.用常规饮用水喂食2周;
5.步骤3和步骤4重复3次。

图1 AOM/DSS结直肠癌造模步骤
图2 (A)AOM/DSS 诱导的结直肠癌示意图, (B)小鼠体重、(C)腹泻评分、(D)出血评分和(E) 代表性全结肠和结肠癌数的变化。
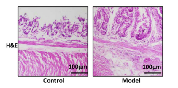
图3 结肠切片HE染色结果
靶点及简介 : Dextran sulfate sodium salt (MW 40000) 是一种脱水葡萄糖的聚合物,Dextran sulfate sodium salt 通过阻止病毒吸附到宿主细胞中来抑制人免疫缺陷病毒的复制。 AOM/DSS模型是目前使用最广泛的UC化学诱导模型,临床症状学、形态学及病理学观察证明,该模型与人类溃疡性结肠炎癌变过程极为相似。AOM引起鸟嘌呤O6甲基化是诱导基因突变损伤最主要的原因,基因突变使细胞过度增殖,形成特异性的大肠肿瘤。DSS的致炎机制尚未阐明,可能与DSS的负电荷影响 DNA 合成、抑制上皮细胞增生、破坏肠黏膜屏障、导致巨噬细胞功能障碍及肠道菌群失调有关。
DSS IBD造模方法
通常采用纯水中加入DSS制成DSS溶液给予动物自由引用造模。DSS造模时候浓度采用W/V计算。采用不同的DSS浓度、给药时间和给药频率,可制成急性和慢性俩种结肠炎模型(IBD)。
一般来说,急性结肠炎模型常采用较高浓度DSS溶液和相对短的给药时间建立。如:5%DSS自由饮用4-7天。慢性结肠炎模型则可采用低浓度DSS建立,但给药时间较长。如给予大鼠2%-3%DSS自由饮用120天。
具体使用浓度需根据造模类型,参考相关文献或通过预实验摸索确定。
小鼠结肠癌模型 Colon cancer
使用C57BL/6小鼠(雄性,8-10周龄),腹腔注射单剂量的10 mg/kg AOM,指定为第0周。将DSS溶解在过滤的饮用水中,并在以下几周内连续施用7天:第1周(2~4% DSS),第4周(1~2% DSS),和第7周(1~2% DSS)。为了耗尽巨噬细胞,从第6.5周开始给小鼠注射200 μL(∼1 mg)的Clodronate包封的脂质体,每周持续两次,直到12周时安乐死。


请先 登录后发表评论 ~